EVETERINARIA 24 RADIOLOGÍA
Eveterinaria 24/7 Radiología Digital

Hotel para Mascotas
Cuidamos a tu mascota con amor y comodidad mientras tú no estás, siempre.

Mascotas Exóticas
Atención especializada para mascotas exóticas con el mayor cuidado y experiencia

Peluquería para Mascotas
Servicios de baño y estética para mantener a tu mascota limpia, sana y feliz.
NOSOTROS
Bienvenido a Clínica Eveterinaria 24 Radiología Digital
Radiología General
Radiología Ortopédica
Radiología Torácica
Radiología Digestiva
Radiología Digestiva
Estudios con Contraste
Radiología Especializada
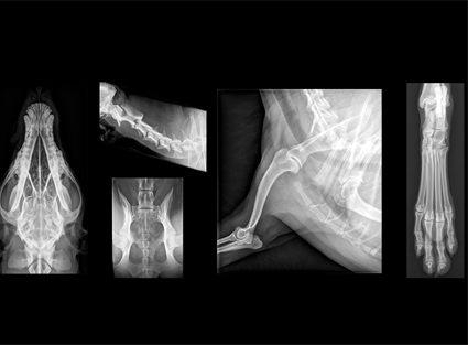
Radiología Digital
Radiología para Mascotas Exóticas
Servicios Complementarios
Ecografía veterinaria
Fluoroscopía
Tomografía computarizada (TAC)
NUESTROS SERVICIOS
Diagnóstico preciso
con tecnología avanzada
Radiología General
- Radiografías simples (rayos X)
- Estudios de tórax (pulmones, corazón)
- Estudios abdominales
- Evaluación ósea (fracturas, luxaciones)
- Control de crecimiento óseo
Radiología Ortopédica
- Diagnóstico de fracturas
- Displasia de cadera y codo
- Enfermedades articulares
- Evaluación prequirúrgica y postquirúrgica
Radiología Torácica
- Evaluación de enfermedades pulmonares
- Diagnóstico de infecciones respiratorias
- Identificación de masas o tumores
- Evaluación cardíaca básica
Radiología Digestiva
- Estudios con contraste (esófago, estómago, intestinos)
- Detección de cuerpos extraños
- Evaluación de obstrucciones intestinales
Estudios con Contraste
- Tránsito gastrointestinal
- Urografía (vías urinarias)
- Cistografía (vejiga)
- Fistulografías
Radiología Especializada
- Estudios de columna vertebral
- Evaluación de hernias discales (complementario)
- Diagnóstico de malformaciones
Radiología Digital en imágenes
- Imágenes de alta resolución
- Resultados rápidos
- Almacenamiento digital de estudios
- Envío de resultados por correo o WhatsApp
Radiología para Mascotas Exóticas
- Aves
- Reptiles
- Roedores
- Pequeños mamíferos
Servicios Complementarios
- Interpretación de imágenes por veterinarios especializados
- Informes radiológicos detallados
- Segunda opinión diagnóstica
- Seguimiento de tratamientos
Ecografía veterinaria
- Ecografía abdominal
- Ecografía gestacional (control de embarazo)
- Ecografía cardíaca (ecocardiografía)
- Ecografía de tejidos blandos
- Ecografía renal y hepática
Tomografía computarizada (TAC)
- Imágenes detalladas en cortes transversales
- Diagnóstico avanzado de estructuras internas
- Detección precisa de tumores y lesiones complejas
- Evaluación de huesos, órganos y tejidos blandos
Fluoroscopía en tiempo real
- Imágenes en movimiento en tiempo real
- Evaluación dinámica del sistema digestivo y respiratorio
- Diagnóstico de trastornos funcionales
- Apoyo en procedimientos veterinarios guiados
Servicio Integral de Radiología Digital para Mascotas
ANIMALES ATENDIDOS
ESTUDIOS REALIZADOS
4 PROFESIONALES
MEDICAMENTOS
RESOLVEMOS TUS DUDAS
Preguntas Frecuentes sobre Radiología Veterinaria
¿Qué es la radiología digital veterinaria?
Es un método de diagnóstico por imágenes que utiliza tecnología digital para obtener radiografías de alta calidad, permitiendo detectar problemas internos de forma rápida y precisa.
¿Es segura la radiografía para mi perro?
Sí, es un procedimiento seguro. La cantidad de radiación utilizada es mínima y se toman todas las medidas necesarias para proteger a tu mascota.
¿¿Mi mascota necesita preparación previa antes del estudio?
En la mayoría de los casos no es necesario. Sin embargo, para algunos estudios específicos el veterinario puede indicar ayuno previo.
¿Cuánto tiempo dura una radiografía digital?
El procedimiento es rápido y suele durar entre 5 y 15 minutos, dependiendo del caso.
¿Los resultados se entregan el mismo día?
Sí, una de las ventajas de la radiología digital es que las imágenes se obtienen al instante y el diagnóstico puede entregarse el mismo día.
¿¿Mi perro sentirá dolor durante el procedimiento?
No, la radiografía es un procedimiento indoloro. Tu mascota solo necesita mantenerse quieta por unos momentos.
¿En qué casos se recomienda una radiografía?
Se recomienda para detectar fracturas, problemas pulmonares, enfermedades abdominales, cuerpos extraños y otras afecciones internas.
¿Se necesita sedación para realizar el estudio?
Generalmente no es necesario. Solo se utiliza en casos especiales cuando el animal está muy inquieto o necesita permanecer completamente inmóvil.
¿Cuál es la diferencia entre radiología digital y convencional?
La radiología digital ofrece imágenes más claras, menor exposición a radiación y resultados inmediatos, a diferencia de la radiología tradicional.
¿Cuántas radiografías puede recibir mi perro sin riesgo?
Las radiografías se realizan bajo control veterinario y en cantidades seguras, por lo que no representan un riesgo para la salud de tu mascota.
TESTIMONIOS
Katherine Torres
DUEÑOS DEL PERRO
“Excelente atención y profesionalismo. La radiología digital permitió detectar el problema de mi mascota a tiempo. Muy agradecido con todo el equipo.”
Maria Silva
DUEÑO DEL PERRO
“Servicio rápido y confiable. Las imágenes fueron muy claras y el diagnóstico preciso. Recomiendo totalmente esta clínica.”
Alexis Barrera
DUEÑO DEL PERRO
“Me sorprendió la tecnología que utilizan. Todo fue muy seguro y mi mascota estuvo tranquila durante el procedimiento.”
Lourdes Fernandez
DUEÑO DEL PERRO
“Personal muy amable y capacitado. Gracias a la radiología digital, el tratamiento fue oportuno y efectivo.”







